
湖南农业大学与军事医学科学院构建了一种新型猪瘟和猪流行性腹泻联合疫苗(E2-S1),小鼠动物实验表明可以引发强烈的Th2型细胞介导的体液免疫反应。E2-S1重组融合蛋白提供了一种新的猪瘟和PEDV候选疫苗,为未来的猪瘟联合疫苗奠定了基础。
疫苗的制备采用了PPS-HD蛋白纯化系统,通过Ni亲和层析法一步得到。国产化的设备为特殊时期一些研究单位摆脱了“卡脖子”的风险,保障了研究的顺利进行。

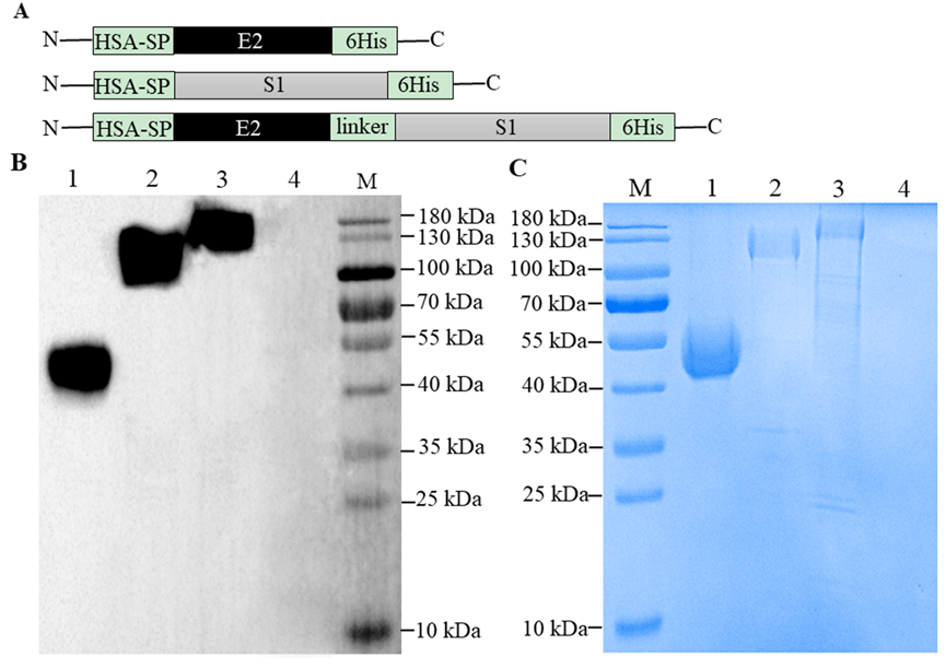
E2、S1和E2-S1蛋白的表达与纯化结果
研究内容详见:
Yanbin Ding, Lingzhi Luo, Ye Luo, Dun Zhao, Shijiang Mi, Xiaohang Yu, Jin Zheng, Changchun Tu, Xinglong Yu, A novel combined vaccine against classical swine fever and porcine epidemic diarrhea viruses elicits a significant Th2-favored humoral response in mice, Vaccine, 2021, 39(33): 4573-4576.
Copyright © 2022 宁波艾纯生物科技有限公司 All Rights Reserved.浙ICP备2022030870号 XML地图
技术支持
扫一扫咨询微信客服