
军事医学科学院针对慢性创面局部缺氧的问题,开展了了牛血红蛋白(Hb)应用于小数创面修复的初步研究,从创面愈合、组织结构、血管生成和炎性相关因子表达等方面对Hb在创面修复中的效果进行初步评价,为战伤救治药物的研发提供线索。
Hb的制备采用了PPS-HD蛋白纯化系统,利用该实验室的成熟技术制备获得。国产化的设备为特殊时期一些研究单位摆脱了“卡脖子”的风险,保障了研究的顺利进行。

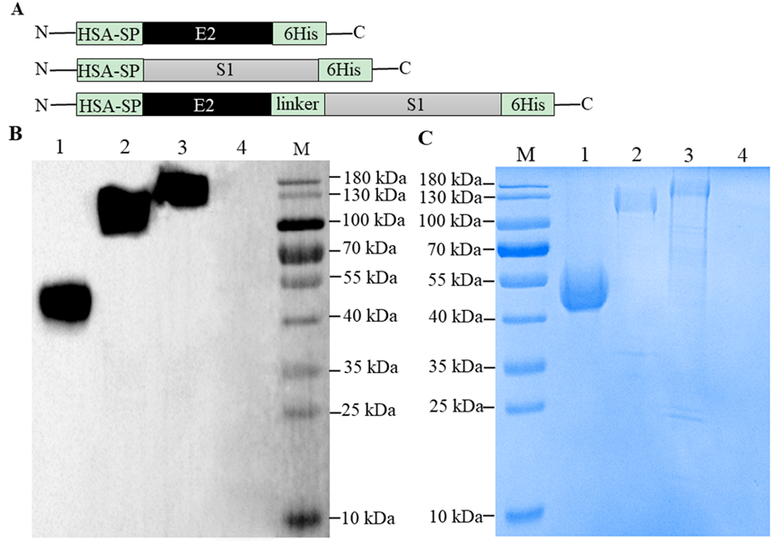
E2、S1和E2-S1蛋白的表达与纯化结果
研究内容详见:
马宁,李柄廷,舒珮琳,等.牛血红蛋白应用于小鼠创面修复的初步研究[J].军事医学,2021,45(03):166-176.
Copyright © 2022 宁波艾纯生物科技有限公司 All Rights Reserved.浙ICP备2022030870号 XML地图
技术支持
扫一扫咨询微信客服